Testimonials

Experience the Magic
At Reflections Dental Group, we believe in the magic of creating beautiful smiles and lasting impressions. Our patients’ experiences speak volumes about our commitment to exceptional dental care. Watch our video to hear heartfelt stories and see the transformations firsthand. Discover why so many people trust us with their dental journey and how we bring a touch of magic to every smile.

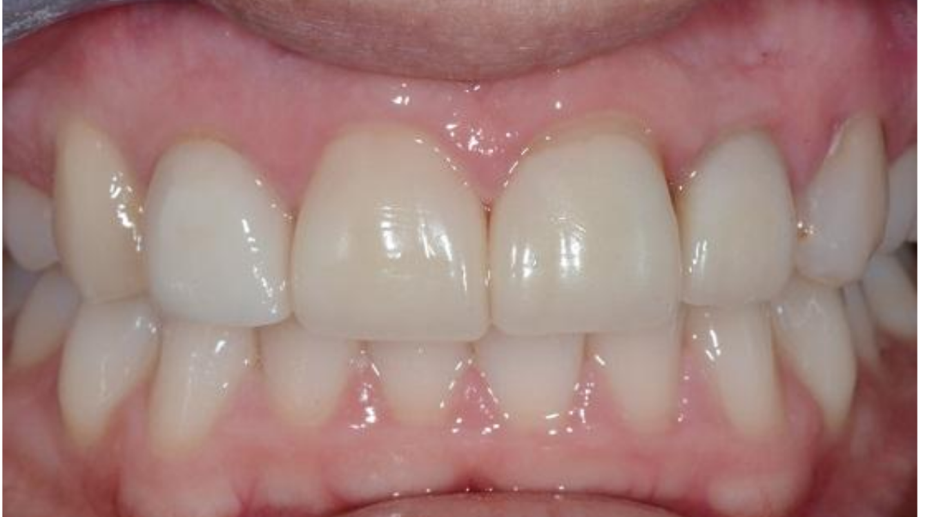
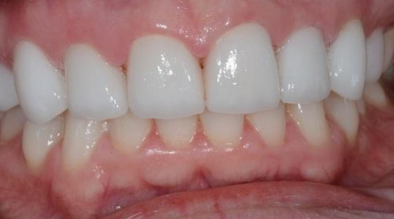
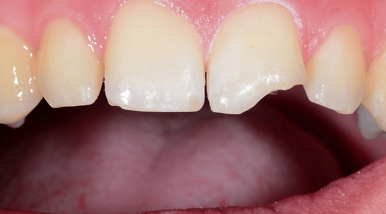
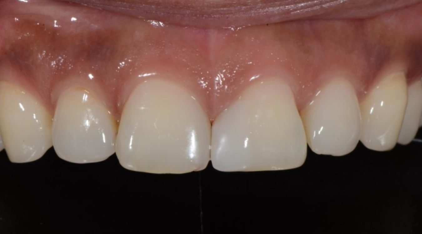
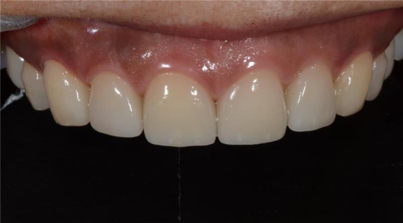
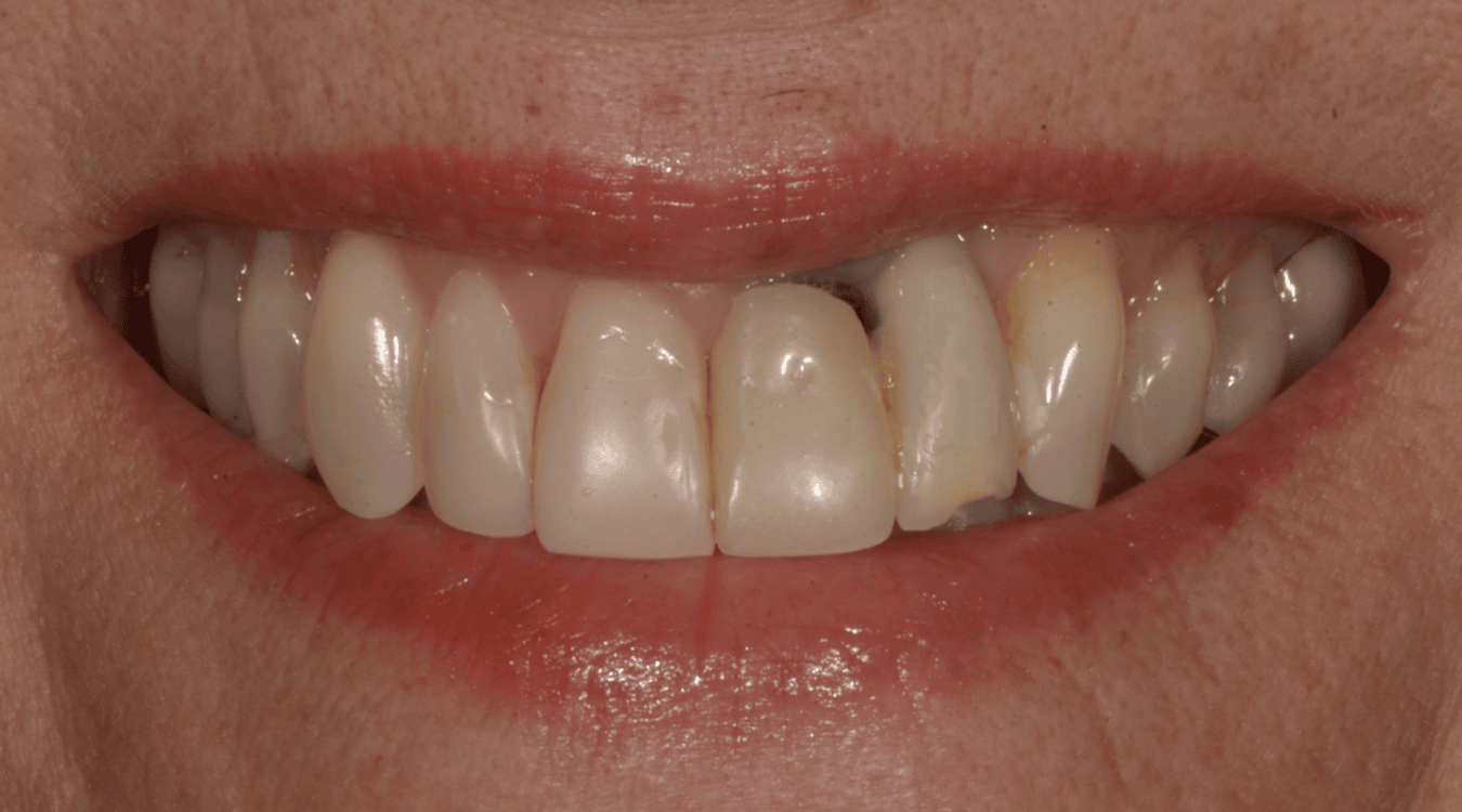
Our Smile Transformations

Our Smile Transformations
What Patients are Saying
EXCELLENT Based on 108 reviews Posted on Angela HartTrustindex verifies that the original source of the review is Google. Can’t recommend Reflections enough! The team were incredibly helpful and thorough, completely absolving my considerable anxiety! They took the time to explain everything and walked me through options where available. The office is beautiful and the staff were all fantastic!Posted on Carmen SamoilaTrustindex verifies that the original source of the review is Google. All dentistry should be like this team delivers 🙂Posted on Paul tenBroekTrustindex verifies that the original source of the review is Google. This was my first time going to Dr. Mehta for a chipped tooth and my experience was 5 Star! The friendly greeting from Michelle at the front desk to the offer of a coffee before my appointment as I was a bit early made my day! As this was my first time here I received the grand tour! The first thing I noticed was it wasn’t the huge dentist with the Costco feel but a cozy environment with a great group of hygienists and Dr. Mehta and the view of the mountains from the 5th floor was a added bonus! Never did I feel like I was being rushed through the process but instead was able to ask lots of questions about some other concerns with my teeth and got lots of options on how to proceed with those issues. Dr. Mehta’s and his assistant Michelle made my experience comfortable and fun at the same time! Highly recommended Dr. Mehta and his team!Posted on DeeAnne tenBroekTrustindex verifies that the original source of the review is Google. Both my husband and I went to Dr.Mehta yesterday on recommendation from other friend. The experience was amazing. Beautiful calm, trendy quiet office, with care and attention from the moment you walk in the door. Michelle was very nice taking to time to explain the process, and introductions to the staff for the appointment!! Dr. Mehta and his assistant Michelle # 1 “ the OG” were happy, comedic and just refreshing! I will recommend this office to anyone!! Thank you!!Posted on Paula Blackmore-WhiteTrustindex verifies that the original source of the review is Google. Do you love going to the dentist? You would if you saw Dr Mehta and his team! Reflections Dental Group are a pleasure to see, great at what they do, and have a really wonderful patient experience. I totally recommend them!Posted on Cale WhiteTrustindex verifies that the original source of the review is Google. 10/10 recommend. Personal and pleasant dental team who all know my name and needs. Dr Mehta and crew communicate clearly, consulting and keeping me informed with every step. Service is just what I want and nothing more. Visits are comfortable and relaxing in a conveniently located clinic with plentiful parking.Posted on Dawson BergmannTrustindex verifies that the original source of the review is Google. One of the more frictionless dental experiences I've had! The staff is warm, capable, and professional, and I always leave pleasantly surprised by how painless my experience was. 👉🏼✨🦷✨👈🏼Posted on Federico BriceñoTrustindex verifies that the original source of the review is Google. I've been coming to Dr Mehta's office for a long time. From regular cleaning to a night guard everything has gone splendidly. Would highly recommend Dr Mehta and his team to anyone.Posted on Barb PirieTrustindex verifies that the original source of the review is Google. Reflections Dental Clinic is the place to come and have your dental needs met. This practice really cares for your comfort and helps ease any anxiety that you may have with dental care. They provide warm blankets and headphones with access to Youtube or Netflix. Appointments are not rushed and Dr. Mehta takes his time to properly explain any issues or concerns. If you have jaw issues (TMJ), he allows you briefly close your mouth and rest your jaw during procedures. This helps me immensely as I no longer strain my jaw muscles to keep my mouth open for extended amount of time. Dr. Mehta and his staff are kind, caring and professional. I no longer dread going to the dentist.Posted on Maria AWTrustindex verifies that the original source of the review is Google. I am a new patient at Reflections Dental Group. I am not a fan of going to the dentist but I was impressed by how the team made me feel comfortable and welcomed. Dr. Mehta took the time to listen to my concerns and also the opportunity to ask as many questions as I wanted to. I didn’t feel like I was being rushed through my appointment. The team always gives me exceptional care and they genuinely care about getting to know me as a person. I am no longer that nervous patient that avoids going to the dentist. I can assure you that you will receive amazing care from a fantastic team. I wish I had found this clinic sooner !!!
Our 5-Star Google Reviews
At Reflections Dental Group, we’re proud to maintain a perfect 5-star rating on Google. Our patients’ glowing reviews reflect our dedication to exceptional care and magical dental experiences. Read what our satisfied patients have to say and see why we’re a trusted choice for dental care in Calgary. Your journey to a magical smile begins with a team you can rely on!



























